FFPE total RNA extraction kit Spin column based purification reagent for Formalin Fixed and Parrffin Embedded sample

Share on (1600059457877):


Price:RUB 13,796.19

Quantity:


Product Overview

Description

High Effective RNAprep Pure FFPE Kit For Purifying Total RNA

 show.jpg

DP439.jpg

Product description.jpg

   The RNAprep Pure FFPE Kit is specially designed for purifying total RNA from formalin-fixed, paraffin-embedded tissue sections. Special lysis and incubation conditions can remove formaldehyde modifications of RNA. In addition, the lysis buffer efficiently releases RNA from tissue sections while avoiding further RNA degradation. The kit also uses DNase I and Buffer RDD for optimized removal of genomic DNA contamination. The purified RNA can be used in various of downstream applications such as RT-PCR.

Features: 

1.Silica membrane based technology to ensure high-purity of RNA.

2.Fast and simple process compared with conventional methods.

3.Suitable for downstream RT-PCR or RT-qPCR applications.

 

KT.jpg

Contents

50 preps

Buffer RF

12 ml

Buffer RB

12 ml

Buffer RW1

40 ml

Buffer RW

12 ml

Proteinase K

500 μl

RNase-Free ddH2O (Bottled)

40 ml

RNase-Free Spin Columns CR3 set (with 2 ml collection tubes)

50

RNase-Free DNase I (1500 U)

1

Buffer RDD

4 ml

RNase-Free ddH2O (Tubular)

1 ml

RNase-Free Centrifuge Tubes (1.5 ml)

50

Storage:

DNase I, Buffer RDD, RNase-Free ddH2O (Tubular) should be stored at 2-8℃.

Other reagents could be store at room temperature (15-25℃)

111.jpg

7896.jpg

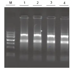
RNA extracted from paraffin-embedded rat liver sample using the RNAprep Pure FFPE Kit.

Sample amount: 15 mg rat liver; Elution volume: 50 μl; Loading volume: 8 μl

M: TIANGEN Marker III

1-4: Rat liver FFPE

 .jpg

 pingtu.jpg

   TIANGEN, a leading biotechnology company in China, provides customized molecular biology reagents and professional technical services to customers in the life science research field. Our comprehensive product portfolio includes technologies for Nucleic acid purification products, PCR series reagents ( including regular PCR, RT-PCR and Real time PCR), NGS library preps and NGS service, as well as lab essential instrumentations.
   TIANGEN maintains a strict“Customer First”mentality and is dedicated to a continuous improvement in quality to fulfill our promise of best-in-class products and services.
.jpg
 pingtu.jpg
QQ20200604144230.png
QQ20200604142135.png
4_.jpg

0.1558 s.