Share on (60702548013):
High-definition image quality, low-dose imaging protocols and touch-screen user interface.
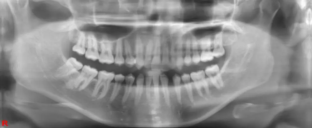
1. Panoramic
two-side check fixing device and chin-rest for panoramic acquisitions improves clarity and reducing the risk of re-takes.
Smart 3D is designed to be upgradable from panoramic imaging and Cone Beam Computed Tomography to cephalometric.

2. Cephalometric
The scanning ceph module allows clinicians to upgrade their diagnostic capabilities while keeping costs to minimum. High-resolution images provide all the clinical information needed while keeping radiation exposure low. Full and Half width images optimize dose to cater to dentist’s requirements.

3. CT Imaging
Practitioners can display the acquisition field of view on the patient’s face, indicating the exact area during the examination.
Pre-program the fields of view from 5x5 to 15x8 according to clinical application requirement. Zero dose presentation mode is for safety and relax patient’s anxiety.
Self-developed and owned image reconstruction algorithms provide high-quality images with drastically reduced x-ray dose. The image reconstruction algorithms reduce the processing time of x-ray data to 15 seconds.
4. Integrates easily into the office network
Better diagnostics with panoramic imaging begins with accurate, clear views of the patient’s anatomy. The Smart 3D is able to capture well-defined, high-quality images with consistent magnification and image uniformity with its powerful imaging tools. Utilize its equipped software SmartV2, it realizes cloud sharing.
5. Multifunctional software
3D image view with intuitive user interface
Implant simulation with adjustment of sectional view
Airway segmentation and analysis

| Technical Specifications | |
| Smart3D | |
| X-ray Tube Voltage | 60-100kV |
| X-ray Tube Current | 2-10mA |
| Max Exposure Power | 600W |
| CT Sensor Type | CsI+CMOS Flat Panel Detector |
| CT Field of View (D * H) | 15cm x 8cm or 12cm x 8cm 8cm x 8cm 5cm x 5cm |
| CT Voxel Size | 0.25mm 0.125mm 0.1mm 0.075mm |
| CT Spatial Resolution | 2.0 lp/mm |
| CT Scan Time | 15s |
| CT Exposure Time | 13s |
| CT Reconstruction Time | 15s~40s |
| Pan Sensor Type | CsI+CMOS Flat Panel Detector |
| Pan Sensor Pixel Size | 0.1mm |
| Pan Exposure Time | 6s~11s |
| Ceph Sensor Type | Csl+CCD TDI Detector |
| Ceph Sensor Pixel Size | 27μm |
| Ceph Exposure Time | 8s~13s |
| Focal Spot Size | 0.5(IEC336) |
| Weight | With Ceph function: 335kg Without Ceph function: 285kg |
| Power Requirements | AC220V±10%, 50Hz, 2000VA |
| Outer Dimensions | With Ceph function: 1978mm × 1526mm × 1693~2393mm Without Ceph function: 1100mm × 1526mm × 1693~2393mm |
| Room Requirements | With Ceph function: 2.5m × 2.1m × 2.5m Without Ceph function: 1.6m × 2.1m × 2.5m |
New products from manufacturers at wholesale prices